Loretta Sebastiani
Il cancro: linfoma di Hodgkin
Il linfoma di Hodgkin è una delle tante neoplasie che colpiscono il sistema linfatico.
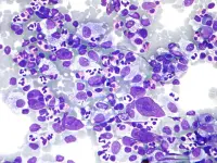
Questo tipo di cancro, non molto diffuso, è diagnosticabile dai preparati istologici per la presenza di cellule di grosse dimensioni e molto particolari: le cellule di Reed-Sternberg.
Non del tutto chiare sono le dinamiche della cancerogenesi ma alcuni frammenti del genoma del virus Epstein-Barr sono stati individuati nel genoma di pazienti affetti da questa forma di cancro.
I sintomi sono spesso generici. La diagnosi si basa sulle analisi del sangue, le tecniche di imaging e soprattutto la biopsia dei linfonodi. Diversi gli approcci terapeutici legati a molti fattori diversi. Alta la percentuale di prognosi favorevole.
Maggiori dettagli nella presentazione che segue.

- Fig. 1 - Linfoma di Hodgkin
- By Nephron - Own work, CC BY-SA 3.0, https://commons.wikimedia.org/w/index/?curid=9716436